最終更新日:2022年8月20日
「ただの頭痛」か「くも膜下出血の前兆」か…突然死を防ぐ唯一の手段【脳神経外科医が警鐘】
こちらの記事の監修医師
森山記念病院
松尾 成吾

たびたびニュースになる「くも膜下出血」。かかってしまうと即座に命を落としてしまうイメージが強いものの、普段「頭が痛い」と思っても「まあ大丈夫だろう」と放っておく人も多いでしょう。今回、森山記念病院の松尾成吾院長が、若くしてくも膜下出血で命を落とした4人のケースをみながら、くも膜下出血を疑うべきサインや最新の治療法を解説します。
多くの有名人が命を落とす「くも膜下出血」
「くも膜下出血」という言葉は、皆さん1度は聞いたことがあると思います。2年に1度くらいは有名人が亡くなったり、手術を受けたりしているニュースが流れます。我々脳神経外科医も外来診療で絶対に見落としてはいけない疾患ですから、神経を使って診察にあたっています。
印象的なニュースとしては、ウクライナ情勢の時事解説でテレビに最近よく出ていた国際政治学者の慶応大学教授中山俊宏氏が、テレビで突然見なくなった? と思っていたら、先日突然くも膜下出血で亡くなっていたのには驚きました。享年55歳です。
巨人軍の木村拓也選手も、2010年に37歳で亡くなりました。右手にボールを持ったまま前のめりに倒れる瞬間が、いまもYouTubeで観ることができます。
水泳で有名だった木原光知子さんも、2007年に59歳で突然亡くなっています。彼女は小学生に水泳を教えている最中だったそうで、周りの人々も相当驚かれたことでしょう。
また、筆者の高校時代親しくしていた友人は、高校の教師をしていましたが、同窓会で会った翌年くらいでしたか、「頭痛がするから早く寝るわ……」と部屋に行ったまま、翌朝には死亡していたと聞きました。
検査していれば救えた?…進化するCT・MRI
「くも膜下出血」はほとんどの場合「脳動脈瘤」といって、脳動脈の分岐部に「コブ」があるのが一般的です。現在のCTやMRIでは性能が向上し、そのコブの姿を描出することが可能です。
筆者は、MRI検査でチェックさえしていれば、この4人の方々の命を救うことができたのではないかと思います。特に巨人軍の木村選手は、前日に頭痛があったようですが、真面目な性格が災いしたのか、無理をして試合前のノック練習に出てきたようです。治療にあたった広島の関係者から状況を聞きましたが、来院時にはほぼ脳死で手を出すことが困難な状態だったそうです。ただコブそのものは、十分に治療できる形状の動脈瘤だったとのことです。
試合前練習に行く代わりに、脳神経外科のある病院を受診していたら……と思うと非常に残念に思います。
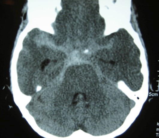
下記[図表1]のCT画像のように、検査をすれば診断は一瞬にして可能なのです。


近年のMRIの質向上には目を見張るものがあります。実際に造影剤など使用することなく、[図表2]のような脳血管画像が描出されます。どこに異常があるか一目瞭然といっても過言ではありません。
1980年代から現在まで筆者はその変遷をみていますが、画質の差は月とスッポンです。しかも10分もかからず検査することが可能になりました。
くも膜下出血の症状…出血量により「千差万別」
くも膜下出血の症状は、出血量で左右されます。
少量のみの出血の方は、本当に「あれ、なんだか変だな」程度で歩いて来院される方もおりますし、教科書的に「いままで経験したことのないような、バットで殴られたような強烈な頭痛」で倒れる方、瞬時に瞳孔が散瞳し昏睡状態に陥ってしまう方まで、千差万別です。
なかには本格的な出血の前兆として「警告頭痛」のような症状の人もいるため、気になった場合にはぜひMRIでの、さらに可能であれば高性能機での検査をおすすめします。
「脳ドック」という方法もありますが、頭痛精査が目的であればドック検査でなくても検査はいつでも可能です。気軽に脳神経外科を受診してください。
くも膜下出血は「切らずに」治せる
くも膜下出血を発症し来院され、脳動脈瘤が同定された場合には、以前は開頭手術のみが治療法でしたが、最近は“切らないで治す”血管内治療が主流となってきています。脳動脈瘤のところをコイルで詰めて治療するわけです。
この方法なら見た目にもスマートで、顔が腫れることもありませんし、長年経過し開頭部分が陥没してきて美容上問題となるようなこともありません。
血管内治療の変遷もみて参りましたが、治療が開始されたころとは本当に成績が雲泥の差です。未破裂の脳動脈瘤に対する成績も非常に安定してきました。
日本への導入は遅れましたが、[図表4]のように非常に治療が難しかった大型動脈瘤に対しても、目の細かなステントやフローダイバーター(FD)を置いて脳動脈瘤が消失させてしまうということも可能になってきました。
血管内治療の進歩は、心臓・循環器系と同様に日進月歩の進化を遂げています。


日本では、脳卒中のなかでもくも膜下出血〜脳動脈瘤の治療に対しては脳神経外科が主体となって治療にあたっています。CTやMRI、脳血管撮影装置などの診断機器の向上、そして治療法の進化には目を見張るものがありますので、気になる頭痛があったり、ご家族にくも膜下出血の既往歴などがありましたら、積極的に専門外来を受診してください。
検査は決して痛くありません。ただMRIの台に乗るだけで、あなたの命が救われることもあり得るのです。木村拓也選手のようなケースが繰り返されぬことを、筆者は祈っています。
この症状を治したい。記事を読んで今すぐ医師の診断を受けたいあなたへ。
イシャチョクのオンライン診療なら、予約なしで今すぐ医師とつながります。「オンライン診療について詳しく知る」ボタンから、オンライン上の仮想待合室に入りましょう。全国の医師、または近くの医師が、すぐにあなたを診察します。
全国のクリニックから検索したいあなたへ。
クリニックを探すクリニック検索
病気・医療情報検索
キーワード検索キーワード検索
こちらの記事の監修医師
森山記念病院
松尾 成吾
■役職
森山記念病院 院長 脳神経外科部長
■学歴
昭和55年 信州大学医学部 卒
■経歴
信州大学脳神経外科にて杉田虔一郎、小林茂昭教授に師事
平成元年~2年 米国メーヨークリニック脳神経外科にてクリニカルフェローとしてサント教授に師事※杉田、小林、サント教授共々世界的に高名な教授
平成13年 獨協医科大学脳神経外科講師を経て平成15年から森山記念病院 脳神経外科 部長
主に脳血管障害を中心に診療
■資格
日本脳神経外科学会専門医・指導医/日本脳卒中学会専門医・指導医/関東脳神経外科懇話会幹事/東部脳神経外科フォーラム世話人/日本脳神経外科学会同時通訳団員/ベストドクターズ受賞(2020〜2021)
仮想待合室型オンライン診療対応の医療機関募集中
イシャチョクでは、予約無しでオンライン上の「仮想待合室」に入れば、診療科目毎の医師が順番に診察してくれる、仮想待合室型のオンライン診療システムを提供しています。



